
CSI Education
181 videos | 513 followers
CSI is the leading conference on catheter therapy of congenital, structural and valvar heart disease and heart failure interventions worldwide. Lead by experts in the field, CSI supports and promotes global and multidisciplinary collaboration by providing educational congresses, workshops and online learning opportunities like live cases and webinars. It is our goal to stay at the forefront of technology, innovation and medical device development and we achieve this through close collaboration with our worldwide network of physicians, healthcare providers and industry professionals.
csi-congress.org
csi-congress.org

Cathlab Live Cases

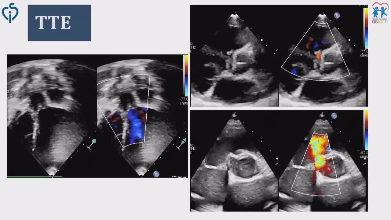
CSI CATHLAB LIVE - VSD CLOSURE WITH THE NEW OCCLUTECH PMVSD OCCLUDER (ANTEGRADE APPROACH)

CSI EDUCATION

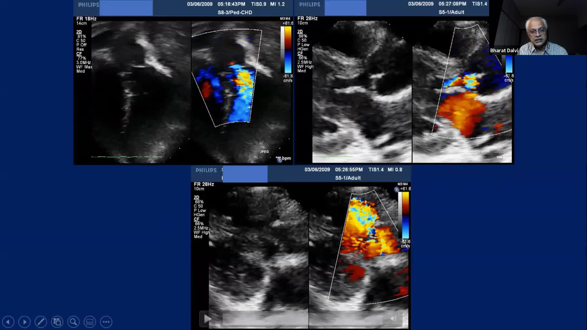
CSI CATHLAB LIVE - INTER-ATRIAL SHUNT FOR DECOMPRESSION OF THE LEFT ATRIUM IN A PATIENT WITH VERY SEVERE HEART FAILURE WITH THE AFR DEVICE
